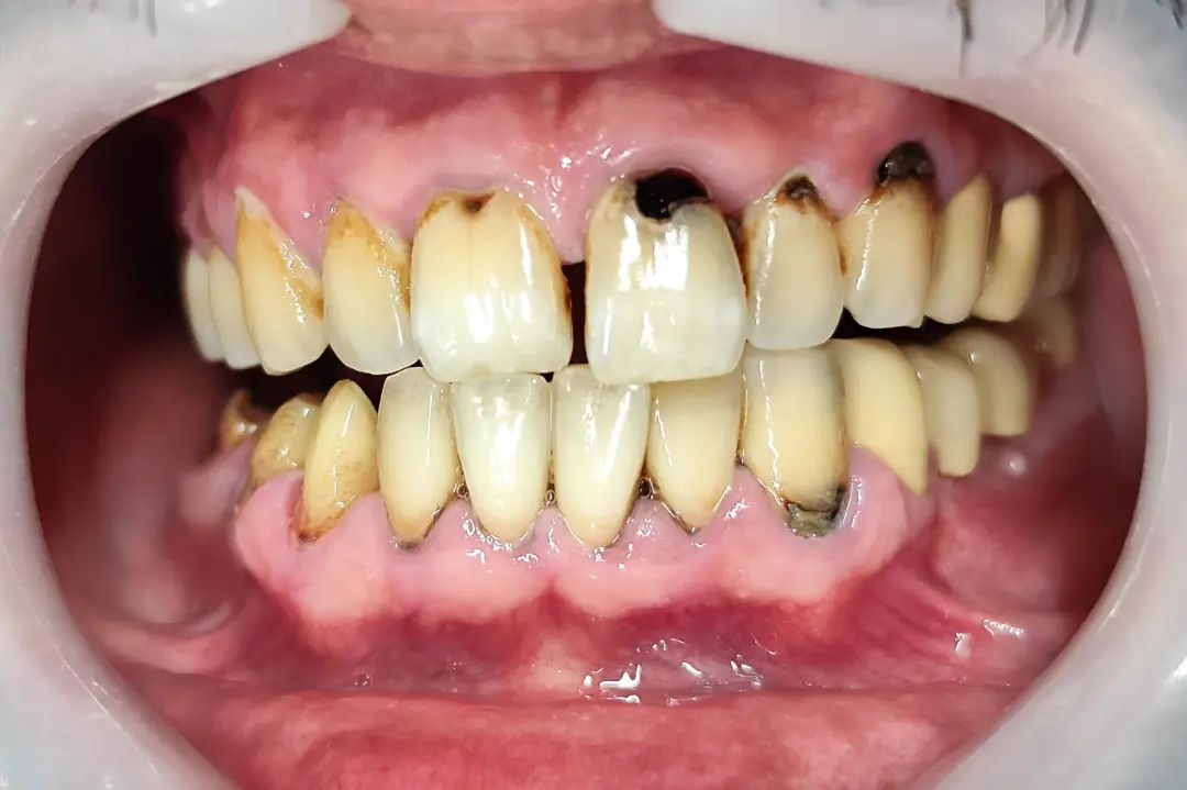
Direct restorations with composite resin are a reliable option for restoring teeth with fractures, cracks, wear, or color irregularities. This technique provides an immediate improvement in both the appearance and functionality of the tooth, resulting in a completely natural-looking outcome.
Composite resin is carefully applied and shaped to perfectly match the color and shape of the natural teeth, ensuring long-lasting durability and an aesthetic result. It is a minimally invasive approach, ideal for patients seeking quick and aesthetic restoration without the need for more complex procedures.
We use cookies to personalise content and ads, to provide social media features and to analyse our traffic. We also share information about your use of our site with our social media, advertising and analytics partners who may combine it with other information that you’ve provided to them or that they’ve collected from your use of their services.
Necessary
Always active
Necessary cookies help make a website usable by enabling basic functions like page navigation and access to secure areas of the website. The website cannot function properly without these cookies.
Preferences
The technical storage or access is necessary for the legitimate purpose of storing preferences that are not requested by the subscriber or user.
Analytics
Analytics cookies help website owners to understand how visitors interact with websites by collecting and reporting information anonymously.The technical storage or access that is used exclusively for anonymous statistical purposes. Without a subpoena, voluntary compliance on the part of your Internet Service Provider, or additional records from a third party, information stored or retrieved for this purpose alone cannot usually be used to identify you.
Marketing
Marketing cookies are used to track visitors across websites. The intention is to display ads that are relevant and engaging for the individual user and thereby more valuable for publishers and third party advertisers.